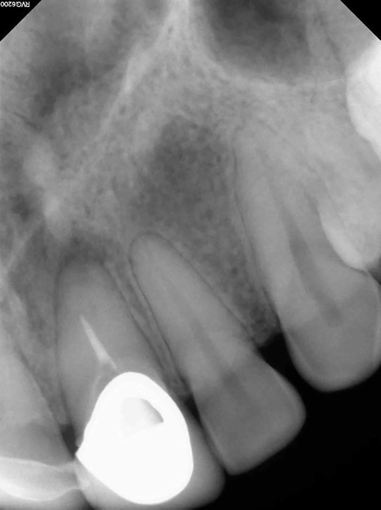
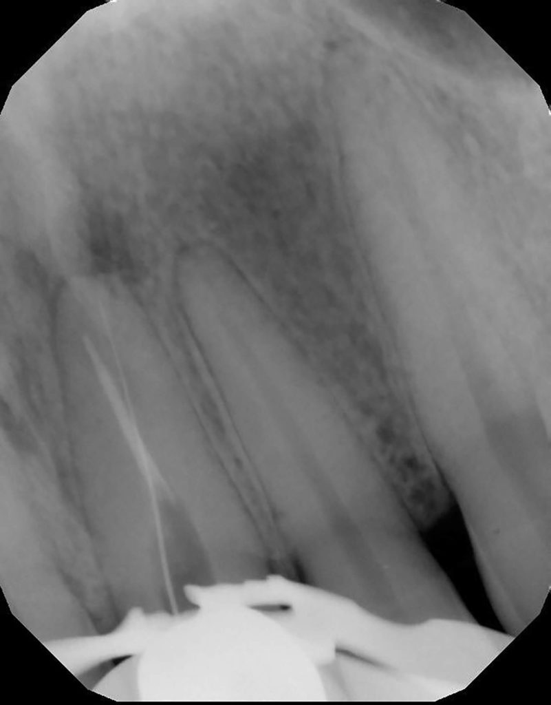
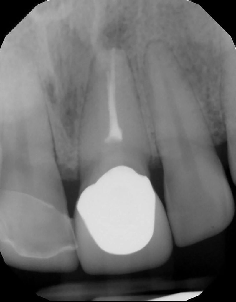
Introduction to the case
Fun retreatment. Patient had RCT on 9, which was retreated by another endodontist 5 years ago. Patient developed pain and swelling in the area. CBCT revealed a transported canal with a perforation. I was able to locate the canal and hopefully save the tooth!




