Introduction to the case
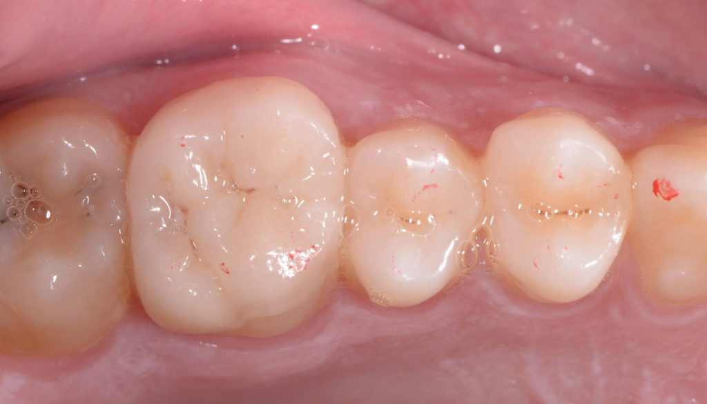
Patient presented with deep distal decay on first molar. Used deep margin elevation and papillectomy. No attempt was made to establish 3 mm biologic width space. Overlay prep and lithium disilicate indirect restoration placed. Photos from 15 month follow up included.









